15 yıl boyunca her gün 5 votka shot içen adamın röntgen filmleri aşırı alkol tüketiminin korkunç sonuçlarını gözler önüne serdi. 50 yaşındaki adam, tedavisi olmayan hastalığa yakalandı.


15 yıl boyunca her gün 5 votka shot içen 50 yaşındaki bir adam, sonuçlarına fena halde katlanmak zorunda kaldı. Pennsylvania'da yaşayan ve ismi belirtilmeyen adam aylar süren karın ağrısı ve ishalden sonra doktora gitti.

Doktorlar, adam kan kusmaya başlayana kadar test yapmadı. Test sonucunda korkunç hastalık ortaya çıktı.

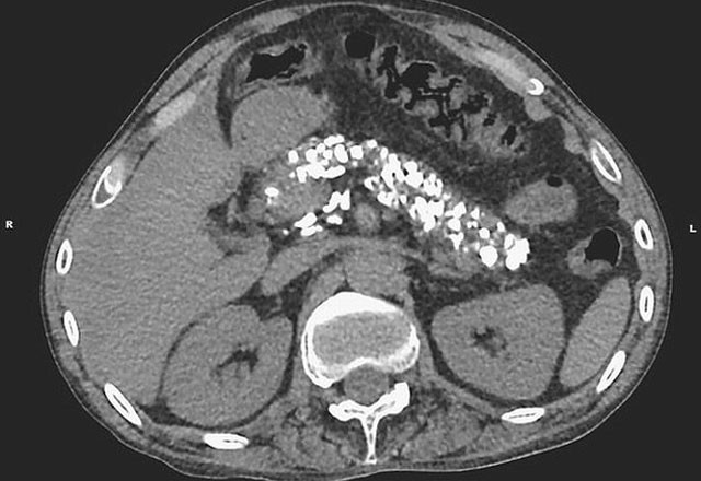
Sonuçlar, kronik pankreatiti işaret ediyordu. Aşırı alkol tüketimi, adamın pankreasındaki bazı dokuların sertleşmesine yol açmıştı. Kireçlenme olarak bilinen bu durum, tedavi edilemeyecek hale gelmişti.

Adamın pakreasındaki tortular, New England Journal of Medicine'de yayınlanan röntgende de görülüyor. Uzmanlar aşırı alkol tüketiminin zararlarını görmek için adamın semptomlarına bakmanın yeterli olacağını söyledi.

Peki kronik pankreatit nedir?

Kronik pankreatit, pankreasın inflamasyondan kalıcı hasar görmesiyle oluşan bir hastalıktır. İnflamasyonun kısa süreli olduğu akut pankreatitten farklıdır. Vakaların çoğu aşırı alkol kullanımından kaynaklanır.

En yaygın görülen belirtisi sürekli tekrarlayan şiddetli karın ağrısıdır.

Yorumlar
Editör Hakkında